The Dental Health Center

Bridge

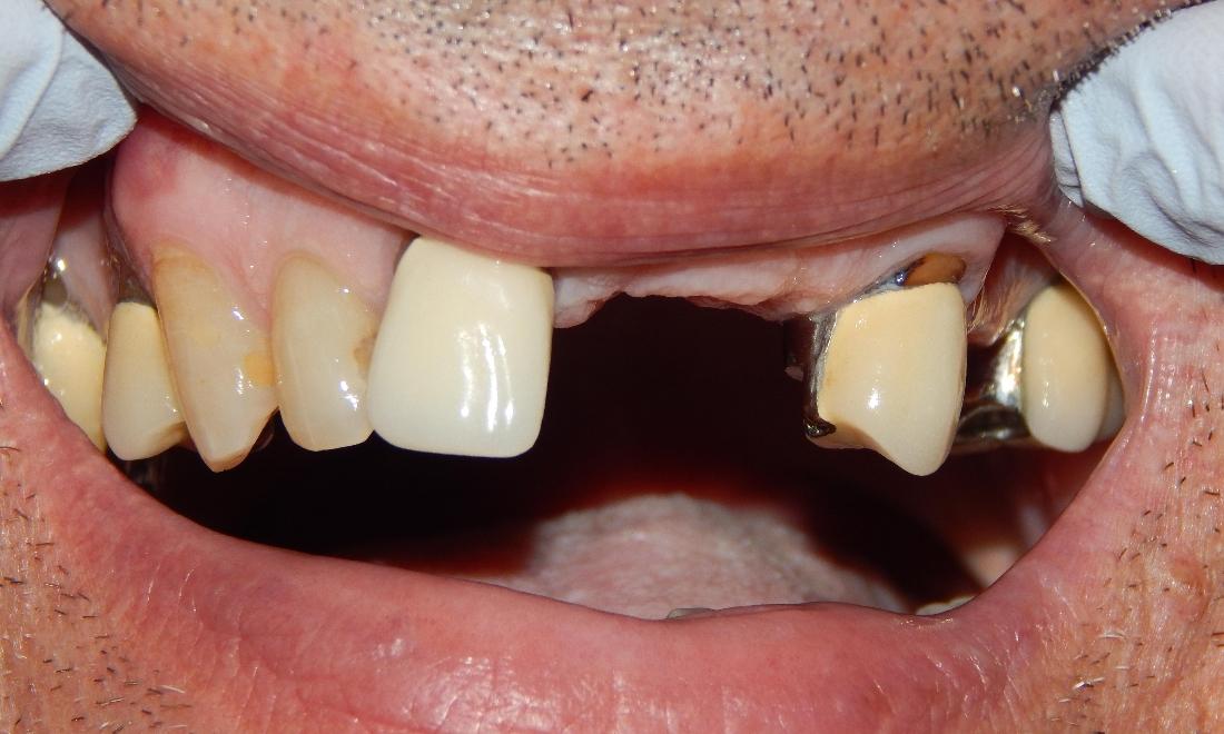
One of the many options for replacement of missing teeth is a bridge.  A bridge is a dental prosthetic that uses some of the remaining teeth to anchor in the replacement teeth.  A bridge is cemented in place and is not removable.  Bridges can fill in missing spaces and restore form and function when teeth have been lost. 

AnnMarie

Dr. Seger and the staff were very pleasant and made you feel right at home. I had concerns about a front tooth that might not be able to be fixed but Dr. Seger did an excellent job and my teeth look great. I can smile again.

Ready to book an appointment?
If you have difficulty using our website, please email us or call us at (610) 494-0404
View the ADA Accessibility Statement