The Dental Health Center

Dental Bonding

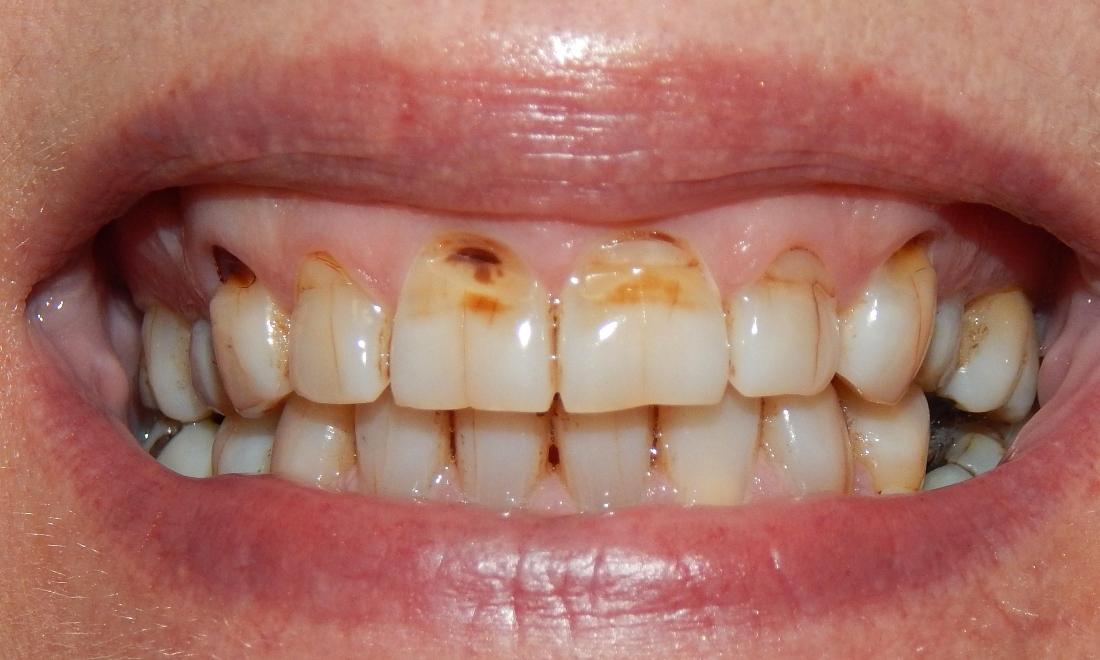
Tooth decay on front teeth can be a troubling and unsightly problem for many patients.  In many cases, we can repair the tooth decay and return teeth back to their natural appearance by bonding tooth colored filling material to repair the damage from cavities. This patient was very concerned about the discoloration of her teeth along the gumline.  We were able to fix the decay and greatly improve the appearance of the teeth in one visit using dental bonding procedures.

Ready to book an appointment?
If you have difficulty using our website, please email us or call us at (610) 494-0404
Privacy Policy