The Dental Health Center

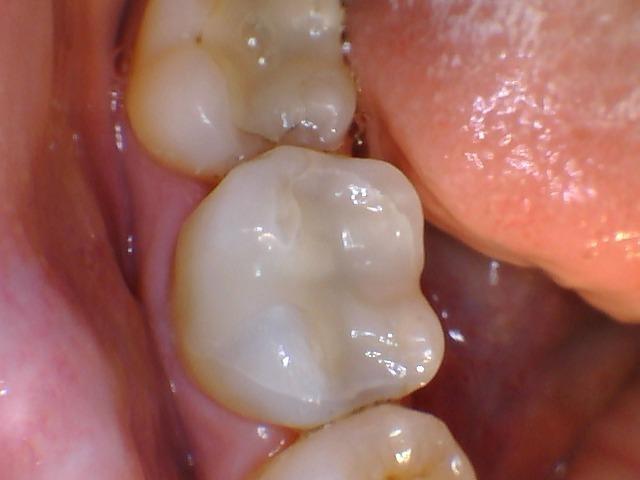
Tooth Colored Filling

This failing silver filling was replaced with a tooth colored filling material.  The tooth colored filling material allows us to restore teeth to a more natural looking state.  With tooth colored resin, fillings can now blend in seamlessly with the other natural teeth. 

AnnMarie

Dr. Seger and the staff were very pleasant and made you feel right at home. I had concerns about a front tooth that might not be able to be fixed but Dr. Seger did an excellent job and my teeth look great. I can smile again.

Ready to book an appointment?
If you have difficulty using our website, please email us or call us at (610) 494-0404
View the ADA Accessibility Statement